2018, Москва
Начало проблем
Недавно исполнился год с момента, как я закончил прописанные мне 25 сеансов лучевой терапии. Но началось все 8 лет назад с проблем с телефоном.
Я левша и, отвечая на звонки, всегда подносил телефон к левому уху. В октябре 2018 года у моего телефона начались какие-то проблемы то ли с сетью, то ли с динамиком. Снимая трубку, я слышал что-то невразумительное и выполнял обычный ритуал по улучшению приема: подходил к окну, проверял сеть, прикладывал телефон к другому уху, и связь в конце концов налаживалась.

Не могу сказать, что это меня сильно волновало, потому что истинную причину этой проблемы я обнаружил случайно, по дороге к метро, переставляя наушник из одного уха в другое. Вскоре я побывал у трех разных ЛОРов и несколько раз прошел проверку слуха, которая подтвердила очевидное: слух на левое ухо снизился на 70%. После безуспешного поиска причины последний ЛОР направил меня к неврологу, а тот — на МРТ. И уже на снимках все стало ясно: вестибулярная шваннома, она же невринома слухового нерва.
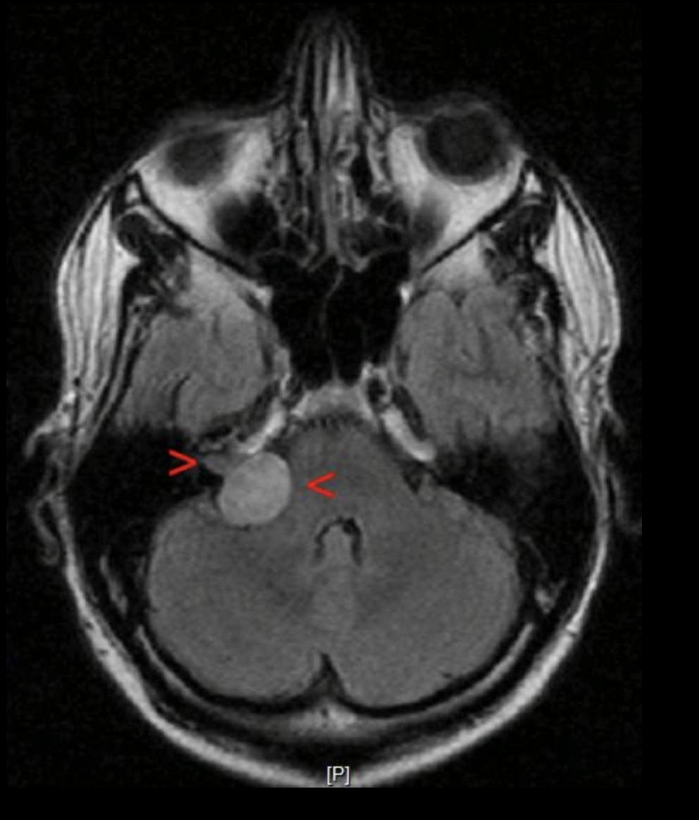
Невринома слухового нерва (вестибулярная шваннома, акустическая невринома, акустическая шваннома) — доброкачественная опухоль-невринома, растущая из шванновских клеток слухового нерва, VIII пары черепных нервов. Ежегодно данная патология выявляется у 1 человека на 100 тысяч населения.
В типичных случаях первым симптомом невриномы является нарушение слуха.

Моя опухоль была 27 мм в диаметре, чего было достаточно, чтобы ее классифицировали как Koos IV, последнюю стадию по классификации Koos. В этом случае единственным вариантом является хирургическое лечение. Самым частым побочным эффектом операции считается парез лицевого нерва.

Лицевой нерв (который отвечает за мимику и тактильные ощущения на своей половине лица) пролегает бок о бок со слуховым, из которого и растет опухоль. И этот нерв очень легко повредить во время удаления операции.
Подготовка к операции
На тот момент мне было 27 лет, и я был в ауте. Правдами и неправдами родители помогли найти очень хорошего хирурга в НМИЦ нейрохирургии им. Бурденко. Операцию мне назначили примерно через месяц после приема.
Все еще пребывая в шоке, я потратил этот месяц на выполнение десятка бесполезных анализов и тестов, результаты которых я обязательно должен был принести перед госпитализацией. Организация и беготня по врачам отнимали время и силы, которых и так было немного.
Но главная проблема была в 11-м тесте: МРТ на аппарате мощностью 3 Тесла. Для обычной диагностики применяются аппараты гораздо меньшей мощности. МРТ 3 Тесла дает более высокое разрешение и детализацию изображений. Как я думал на тот момент, хирург хотел иметь более качественное изображение для подготовки к операции.
И именно такой аппарат был в Бурденко (вот совпадение). Но в день приема меня отказались принять из-за установленных всего пару месяцев назад ритейнеров. Я потратил еще несколько дней на срочное удаление ритейнеров и перезапись на МРТ. Но оказалось, что аппарат сломался.
Никакие поиски в интернете и звонки по знакомым не помогли найти еще один аппарат МРТ заданной мощности. Не помню, сколько раз я звонил и ездил в больницу, узнавая статус аппарата и пытаясь записаться. В моей голове это многократно увеличивало риски операции, ведь у хирурга не будет этих детализированных снимков. К счастью, аппарат починили, и в итоге злосчастное МРТ было сделано за день (!) до госпитализации.
Госпитализация и операция

Госпитализацию назначили на субботу, операцию — на утро понедельника. Эти два дня я провел в больничном лимбе. К несчастью, ожидание пытался скрасить общительный дед, который регулярно наведывался ко мне в палату, чтобы что-то рассказать. Не знаю, что с ним было, но в результате он получил тот самый парез лицевого нерва: половина лица просто безжизненно висела, щека болталась, как парус на ветру, а разобрать хоть слово из того, что он говорит, было невозможно. Я вежливо кивал, не понимая смысла сказанного и думая только о том, что меня ждет после операции.
Утром понедельника у меня состоялась краткая консультация с анестезиологом, и вот меня везут в операционную. После нескольких минут ожидания мне вкололи анестезию и сказали считать до десяти.
Очнулся я уже в реанимации. Настолько плохо мне не было еще никогда в жизни. Голова трещала по швам, а при малейшей попытке открыть глаза начиналось дикое головокружение, такое, что меня сразу выворачивало. В левое ухо как будто набили ваты. Разбудили меня два врача-студента, которым позарез надо было меня осмотреть. Говорю, что на левое ухо я стал слышать еще хуже. В ответ — а ты что думал, у тебя слух сохранится?
Неделя в больнице

Лицевой нерв при операции не пострадал. Первые сутки я пролежал в реанимации. Самый главный прикол в том, что тебе раз где-то в 15 минут специальная машина автоматически меряет давление. Это значит, что невозможно заснуть больше чем на 15 минут. Развлечений никаких, даже глаза не мог открыть без дикого головокружения.
В палате уже было полегче, но все равно меня преследовала ужасная головная боль и головокружение. Чтобы не помереть со скуки, слушал аудиокниги и кино. Постепенно навострился читать по паре минут за раз. Ходил по отделению очень маленькими шажками.
А в следующий понедельник меня отпустили домой.
Дома

Как только я переступил порог, сразу стало легче. Больницы вообще самое неподходящее место, чтобы болеть. Голова все еще постоянно кружилась, но я уже мог какое-то время сидеть, чем и воспользовался, чтобы пройти GTA V.
Так как после операции я потерял слух, у меня появился тиннитус — постоянный шум в глухом ухе. Но к нему я привык довольно быстро. К чему было сложно привыкнуть, так это к отсутствию слуха слева.
Я понял, что мозг просто не готов к такой ситуации, и по факту он присваивает направление любому звуку. Но только с одним ухом определить направление невозможно. Поэтому я чувствую направление звуков, но не знаю, что оно точно правильное, пока не увижу источник звука или кто-то мне не скажет, откуда он идет.
В начальный период после операции это приводило к курьезам. Например, выхожу со двора, слышу шум машины впереди, готовлюсь ее пропустить. И ловлю инфаркт, когда оказывается, что машина сзади. Или иду вечером домой, зима, темень. Слышу звук, как кто-то идет рядом. Впереди никого, оборачиваюсь — тоже никого, что за криповый тип? В итоге оказалось, что звуком было шуршание куртки.
2024, Берлин
Ah shit, here we go again
Встретил Новый год, вышел на работу. На третий рабочий день заметил, что лицо слева как будто онемело, совсем чуть-чуть. На следующий день ситуация не стала лучше, и я пошел к семейному доктору, который сразу отправил меня в неотложку.
Вместе с женой мы пошли в ближайшую больницу, где провели часов восемь. За это время мне сделали анализ крови и анализ спинномозговой жидкости. Все в норме. Конечно, главным обследованием было бы МРТ. Но аппарат МРТ был сломан, а КТ рентгенолог делать отказался, дескать, я еще молодой и дополнительное облучение мне не нужно. Но, выходя в 12 ночи из неотложки, я был жутко счастлив, потому что наконец мог вернуться домой. Вот она — животворящая сила больницы!

Дома с какой-то попытки чудом удалось найти окно на МРТ уже на следующей неделе. Сказать, что я нервничал перед МРТ, значит ничего не сказать. Тем более, что это было мое первое МРТ в Германии. Слава богу, никаких накладок не вышло, и после небольшого ожидания я пошел домой с диском со снимками.
Содержимое диска было отправлено врачу, который вел меня в 2018 году. В ответ пришло сообщение, которого я больше всего боялся: рецидив опухоли.
Перед операцией
Поиски хирурга и немецкая больничная бюрократия были отдельным квестом, но в итоге мы добились даты операции. После первых симптомов прошло около трех недель. Вместо пачки формальных тестов мне назначили подготовительный предоперационный день.
Предоперационный день состоял преимущественно из типичного для немецкой больницы ожидания. Ждал очереди на регистрацию, очереди к менеджеру, очереди к нейрохирургу, очереди на регистрацию в отделении анестезии, очереди к анестезиологу. На все ушло где-то 7-8 часов. За это время мне объяснили, что будут делать во время операции, задали несколько вопросов и взяли анализ крови.

На следующий день необходимо было быть в больнице к 7:45.
Уснул я только тогда, когда уже слишком устал, чтобы переживать, и проспал пару часов. К назначенному времени мы с женой пришли в операционное отделение. На удивление, ждать пришлось совсем недолго, и минут через 15 меня вызвали.
Я сдал одежду и вещи, переоделся в больничную робу, и меня проводили в палату ожидания на мою койку. К каждой койке прилагался планшет на стойке и наушники. Планшет обладал ассортиментом фильмов и сериалов на разных языках. Пролистав список фильмов, я решил, что Миссия невыполнима лучше всех остальных поможет мне отвлечься от моих мыслей.
Кого-то приводили, кого-то забирали на операцию. Меня забрали прямо на моей же койке в районе девяти часов. Доктор спросил у меня, какая операция у меня сегодня и с какой стороны. Затем меня привезли в узкое пространство, отделенное ширмами и заполненное кучей врачей.
Еще несколько вопросов — и в руки и ноги начали вводить иголки. Иголку для анестезии воткнули в кисть левой руки: почему-то втыкали очень больно и очень долго. Наконец, по вене пустили анестезию. Сначала отлетели ноги, потом низ живота. Потом я очнулся в реанимации.
Время в больнице

По опыту я уже знал, что меня начнут о чем-то спрашивать. Поэтому на вопрос, как я себя чувствую, ответил заготовленной шуткой, что готов идти домой. Мне сказали, что операция прошла хорошо, но была проведена манипуляция с лицевым нервом и сейчас у меня парез. Меня это не волновало: я был под кайфом от больничной наркоты и от факта того, что все закончилось.
В немецкой реанимации мне было гораздо лучше, чем в российской. Голова не кружилась так сильно, было много персонала, а мне давали воду и лекарства, когда я просил. И всего через пять часов меня перевели в палату.
Следующие пять дней тянулись медленно, но не так, как в 2018 году. Из-за того, что мне давали преднизолон, у меня началась бессонница, временами все раздражало. Но все равно этот раз был гораздо лучше: медицинский персонал был доступен круглосуточно, и по нажатию кнопки всегда кто-то приходил. А в коридоре все время были доступны чай, кофе и вода.
Я сразу же смог пользоваться телефоном и ноутбуком. В лежачем состоянии голова не кружилась, да и ходить я мог гораздо бодрее, чем ожидал, что меня очень радовало. По сути, я просто ждал выписки, и уже через пять дней поехал домой.

Восстановление
Мне было очень кайфово сидеть дома, восстанавливаться и ни о чем не думать. Но скоро стало очевидно, что думать надо: вопреки обещаниям врачей лицевой нерв и не думал восстанавливаться.

За весну нам удалось найти физиотерапевта. Как можно представить, найти того, кто проводит терапию для пареза лицевого нерва, да еще и готового начать работать сразу, было непросто. Я проходил к физиотерапевту где-то до середины июля, без результата. Возможно, даже с отрицательным результатом, потому очень непросто сталкиваться каждый раз с тем, что поллица не двигается, пытаться пошевелить тем, что просто замерло на месте, несмотря на все твои усилия.

Лучевая терапия
Во время операции опухоль удалили не полностью, и меня направили на лучевую терапию. Чтобы сократить и так долгий рассказ, я не буду писать о том, как мы:
- организовывали лучевую терапию в «Шарите», но разочаровались в этой клинике;
- организовывали лучевую терапию в университетской клинике Хайдельберга;
- как нас «кидали» с записями на процедуры;
- искали третье, четвертое и пятое мнение.
А сама подготовка к лучевой терапии состояла из очередного МРТ, КТ, изготовления маски для фиксации головы и консультации радиохирурга. Радиохирургом оказался вчерашний студент, который с ходу оттараторил всевозможные побочные эффекты: радионекроз, трудности с дыханием и еще штук десять других, не менее приятных, побочек. Под конец этого списка я уже начал сомневаться в своем решении проходить лучевую терапию. Но на мой вопрос, какова вероятность этих побочных эффектов в моем случае, он ответил, что это «единицы процентов».

Уже через месяц после последних подготовительных процедур я переступил порог временной квартиры в Хайдельберге. Мне предстояло провести там пять недель — по пять сессий облучения в неделю.
Большую часть времени в больнице я проводил в большом просторном зале с выходом в сад. Вместо обычных больничных стульев там стояли кожаные диваны, а сам зал никогда не был заполнен до максимума. Мои товарищи по несчастью были довольно разношерстными: молодые и пожилые люди, одинокие и семейные пары, взрослые и дети. С одной стороны, было хорошо впервые не чувствовать себя единственным молодым среди стариков. С другой — было горько видеть детей, идущих с процедуры.
Когда на экране появлялся мой номер, я шел в комнату с аппаратом. Сама установка разгона частиц была спрятана от лишних глаз, а в комнате были только лучевая пушка и стол на роборуке. Я ложился на стол, а на голову мне надевали маску. Нижняя часть маски крепилась к столу и намертво фиксировала мою голову: я не мог двинуться ни на миллиметр, только дышать.

Т.к. пушка была зафиксирована, двигался сам стол и подставлял мою голову к пушке под нужными углами. Очень важно было оставаться неподвижным во время процедуры, и маска с этим отлично помогала. Но это была и самая ненавистная часть всего действа. Быть прикованным к столу вызывало практически панику, но телесно ее отыграть я не мог.

В течение часа после облучения наступала усталость и головокружение, состояние, как будто ударили подушкой по голове. А через несколько недель я начал ощущать постоянное легкое онемение в левой ноге (опухоль разбухала от облучения и давила на ствол мозга). Против всего этого выписывали дексаметазон, от которого начинались свои побочки, но это уже другая история.
Несмотря на все прелести немецкой организации дел, все 25 сеансов облучения были проведены в срок, и 22 ноября я вышел с последнего сеанса, сдал ключи от квартиры и отправился домой в обнимку с женой.
Здоровье после
17 октября, в день первого облучения, я увидел в зеркале странную картину: одна из мышц на левой щеке начала шевелиться! С момента операции на тот момент прошло 9 месяцев, и от надежды на заживление нерва уже практически ничего не осталось.
И если до этого мы рассматривали возможность пластической операции, то теперь решили идти по пути реабилитации и надеяться на природу. Всего через несколько недель после возвращения из Хайдельберга мы уже ехали на поезде в Нидерланды, в клинику, специализирующуюся на восстановлении после пареза лицевого нерва.
Этот визит произвел на нас с женой очень хорошее впечатление: впервые за год мы встретили компетентных людей, которые еще и проявляют эмпатию к пациентам.
В итоге на семейном совете мы решили пойти по пути реабилитации:
- не хочется еще раз ложиться под нож;
- операция стоит кучу денег;
- проявился видимый результат восстановления;
- вера в лучшее.
Сейчас, через два года после операции, у меня восстановилось огромное количество нервных волокон, и лицо обрело частичную симметрию. Но все равно остается множество проблем, самая сложная из которых — то, что я все еще не могу до конца закрывать глаз. А это ведет к синдрому сухого глаза и куче других неудобств. Но я надеюсь, что когда-то он все-таки закроется.
Заключение

Когда я был еще в начале этой истории и думал о том, как буду ее рассказывать, то думал, что в конце неплохо бы привести какой-то урок, который я вынес, или другую глубокую мысль. Но на протяжении 2024 года мне уже порядком поднадоело принимать очередной жизненный урок каждую пару-тройку недель, поэтому напишу просто то, что меня поддерживало в разные периоды.
- Жена - самая большая поддержка. Без нее я бы не справился.
- Психотерапия.
- Переоценка того, что мне важно в жизни, и чего хотелось бы достичь.
- Работа над своими проектами. 2024 год - самое продуктивное время по постам в блог.
- Когда надо было просто ждать чего-то (МРТ, ответа докторов, операции) и пытаться не сойти с ума, помогала игра Isonzo. Так сосредотачивался на ней, что на час-другой удавалось полностью отвлечься от тревог.



Удивляюсь, что существуют такие несгибаемые люди
Очень рад что все налаживается! И ты и жена вообще герои я щитаю
И спасибо огромное за честный пост!
У меня была лайт-версия с другим нервом.
в 20м году попал под машину, и почти порвался лучевой нерв (тот что в локте), и вся кисть не шевелилась. И были риски шо это навсегда, с угрозой ампутации. И 2 операции, и полгода попыток восстановления, и куча радостей когда палец в первый раз дернулся. И тоже переоценки ценностей:)
Так шо мб чуть понимаю, и восхищен вообще!
Надеюсь этот прогресс уже навсегда.
Брат, дорогой! Держись и только вперед!
Мы с женой прошли этот кошмар 3 года назад когда у нее обнаружили глиальную опухоль головного мозга. Астроцитома who-2. Слава Богу все сейчас хорошо. Из Дубая поехали в Бурденко. Операция с пробуждением. Парез руки и речи был. Восстановилась полностью практически. Радиация и химия уже в Дубае.
От фоток Бурденко мне поплохело аж. Но Григорий Львовичу Кобякову большой респект. Наверное знаешь его.
Дружище, сил и восстановления тебе! Вам обоим и жене в частности — огромный респект! Стабильной ремиссии с переходом в интермиссию 🤞🏼
Сил и здоровья! И чтобы оно больше не возвращалось!
Очень интересная мысль про переосмысление ценностей. Такие личные истории часто заставляют задуматься, а что люди в целом считают своими большими проблемами. Еще и учат радоваться имеющемуся.
Еще было несколько напряжно читать про медицину Германии (и конкретно Берлина) в сравнении с Нидерландами. Я всегда думал, что вот первая линия не очень, а если что стремное - будет компетентно. Видимо и тут бывает по разному.
а сколько это вышло по деньгам? я прям представляю чудовищные суммы на все эти манипуляции
Расскажи пожалуйста подробнее про Шарите, почему в итоге не они?
Спасибо, что поделился своей историей!
Желаю вам, чтобы эта история была с счастливым концом без всяких но! Вы крутые молодцы!
Сил и здоровья Вам и супруге! Пусть все налаживается быстрее, чем планировали.
Спасибо, что поделился, очень полезно. Круто, что не сдаешься, ищешь новые решения, идёшь вперед -- это вдохновляет. Горжусь! Супруге отдельную благодарность за то что помогает. Надеюсь, что дальше только лучше. Здоровья.
просто крепко обнимаю тебя, дорогой человек!
здоровья и сил!!!